கேண்டி க்ரஷ் சாகா..?! மவனே செத்தடா..!
ஃபேஸ்புக்ல 'ப்ரெண்ட் ரெக்குவஸ்ட்' வருதோ இல்லயோ, தினம் 10 முறையாவது இந்த 'கருமம்' வந்துடும், அதாங்க 'கேண்டி க்ரஷ்' ரெக்குவஸ்ட்..! அப்பிடினா என்னானே எனக்கு தெரியாதுடானு, எத்தனை முறை 'அசிங்கமா' திட்டினாலும், துரத்தி விட்ட நாய்க்குட்டி போல பின்னாடியே வரும் 'கேண்டி க்ரஷ்' ரெக்குவஸ்ட்..!

அந்த அளவுக்கு 'சிலர்' பைத்தியமா அலையுறாங்க..! அப்படி என்னதான் டா அதுல இருக்குனு முயற்சி பண்றவங்களும் அந்த புதைக்குழிக்கு உள்ள சிக்கிடுறாங்க.. அந்த 'மென்டல்' கும்பலுக்கு பாடம் சொல்லிக் கொடுக்க தான் - இந்த கதை..!
பேய் பயந்தாங்கோளி; "உள்ளேன் அய்யா..!"
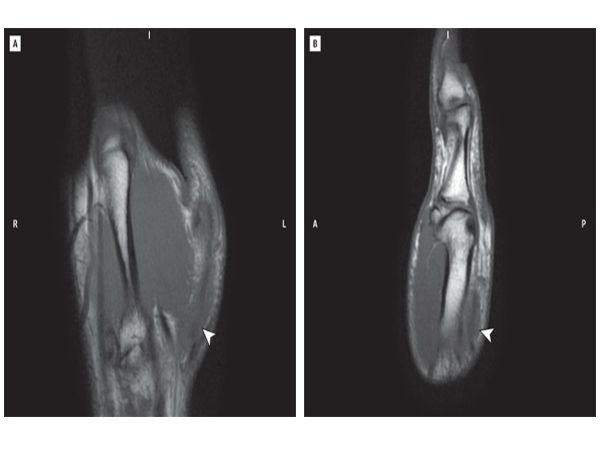
அந்த தம்பிக்கு 29 வயசு, தலைவரு சோறு தண்ணீ சாப்பிடுறாரோ இல்லயோ 24 நாலு மணி நேரமும் கேண்டி க்ரஷ் விளையாடிட்டே இருந்தாராம். இப்பிடியே விடாம 8 வாரம் விளையாட, தன் கட்டை விரல் செயல் இழந்தததை அறிந்த பின் தான் விளையாடுவதை நிறுத்தி விட்டு ஆஸ்பத்திரிக்கு ஓடி இருக்கிறார்.
துபாய், துபாய் மெயின் ரோடு, துபாய் குறுக்கு சந்து..!
வீட்டுல கழுவி கழுவி ஊத்தினாங்களோ இல்லயோ, டாக்டர்கள் கடுப்பாகி இருக்கிறார்கள், கை தசையில் முறிவு ஏற்பட்டு உள்ளது கூட உணராமல், இத்தனை நாளாக வலிப்பது கூட தெரியாமல் பைத்தியமா விளையாடினாருல, தேவை தான்..!

இதனால் சகல ஜனங்களுக்கும் தெரிவிப்பது என்னவென்றால் "விளையாடு.. ஒரு அளவோட விளையாடு..! இல்லனா.. மவனே மாவுக்கட்டு தான்..!


Click it and Unblock the Notifications